Soms kunnen tanden van de ene plek naar de andere getransplanteerd worden.
In dit geval waren de wortels van beide voortanden gebroken. De lange termijn prognose was dubieus.
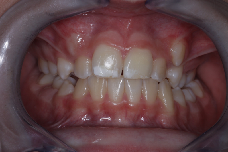
Er was veel te weinig ruimte voor de hoektanden.
Er is besloten om de twee snijtanden te trekken, en de hoektanden te transplanteren naar de plek van de snijtanden.
De chirurgische ingreep is door Jacques Baart uitgevoerd in het VUMC.
Deze hoektanden zijn later opgebouwd met composiet (door Hein de Kloet).
Autotransplantaties laat ik veelal in het AMC uitvoeren.
Het is ook mogelijk om een verwijzing te maken voor Proclin Rotterdam. Zij zijn erg gespecialiseerd op dit gebied, en hebben al duizenden autotransplantaties uitgevoerd.
Een interessant artikel van Proclin is hier te lezen.


Het ruimtegebrek voor de hoektanden is duidelijk.
Op de röntgenfoto is de breuk van de wortels te zien.


De getransplanteerde hoektanden staan nu op de plek van de snijtanden.

Eindresultaat na het opbouwen van de hoektanden, zodat deze er uit zien als snijtanden.
