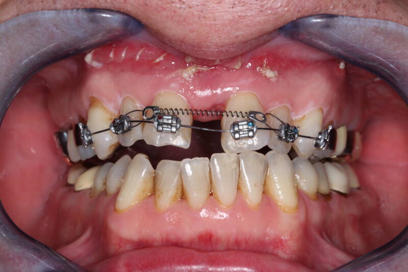
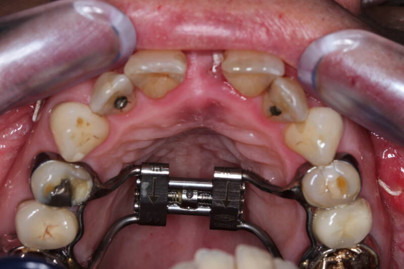
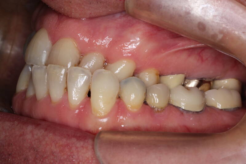
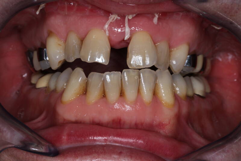
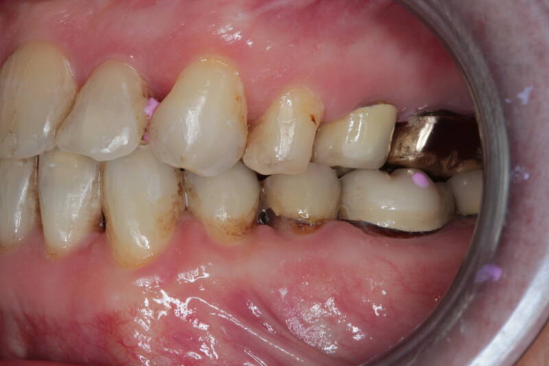
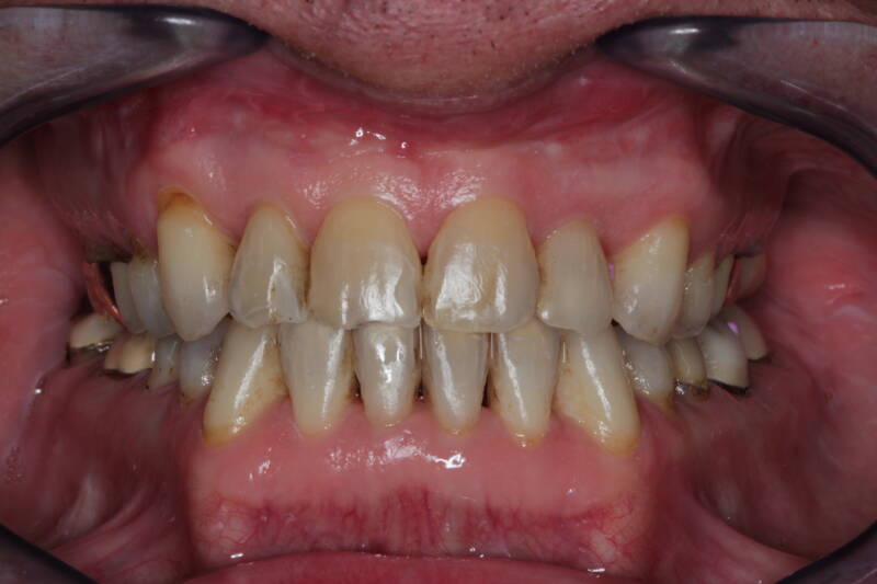
Hieronder een casus met chirurgische verbreding van de bovenkaak, en daarna een kaakoperatie waarbij de bovenkaak naar voren, en de onderkaak naar achteren is gezet.
Hieronder een casus met chirurgische verbreding van de bovenkaak, en daarna een kaakoperatie waarbij de bovenkaak naar voren, en de onderkaak naar achteren is gezet.