Spark Aligners worden gemaakt door het bekende amerikaanse merk Ormco (al 50 jaar actief met orthodontische materialen).
Natuurlijk kennen veel mensen het merk Invisalign(TM), want deze hebben de behandeling met aligners voor het grote publiek mogelijk gemaakt.
C.M. Weststrate werkt al sinds 2001 met Invisalign, en het is een goed product. Er zijn vrij veel nieuwe aligner merken op de markt gekomen sinds de patenten van Invisalign zijn verlopen, met wisselend succes en patiënt tevredenheid.
Met Spark aligners is er nu een hoogwaardige concurrent van Invisalign bij gekomen.
De voordelen zijn:
- Amper verkleuringen van de aligners (Invisalign verkleurt na 2 weken dragen duidelijk, dit was vooral in de Corona-lockdown een probleem)
- Het materiaal behoud langer zijn stevigheid
- De randen zijn gladder afgewerkt
- De aligners zijn nog doorzichtiger (door een hogere resolutie van het 3D model, zijn er minder ribbels zichtbaar)
- Betere software (dit is subjectief) en een open systeem. Dit betekent dat elke 3D scanner gebruikt kan worden, en de behandelaar niet gedwongen wordt om een scanner van Invisalign te kopen.
- Goedkoper
Wij bieden Spark aligners sinds september 2020 aan, en al vele patiënten hebben de behandeling afgrond met telkens een zeer goed resultaat.
Mijn persoonlijke mening is, dat ik Spark aligners beter vindt dan de Invisalign aligners. Op dit moment (2023) zijn wij de op één na grootste aanbieder in Nederland van Spark.
Toch kan niet gezegd worden dat het ene merk beter is dan de andere. Een succesvolle behandeling hangt vooral af van een goed behandelplan en ervaring van de behandelaar.
Hier kunt u meer informatie vinden over Spark aligners (al is dit niet geheel onafhankelijk)
Hoe lang duurt de behandeling?
De meeste behandelingen vallen onder het Spark 20 pakket. Deze behandeling duurt meestal tussen 5 en 12 maanden. Bijna altijd is er een refinement nodig (een extra set aligners), dus de 5 maanden wordt niet vaak gehaald. Soms zijn er ook twee refinements nodig voor een perfect resultaat.
Na de behandeling moeten de tanden wel recht gehouden worden, minimaal 5 jaar. Dit kan d.m.v. een spalk (draadje) achter de tanden, of een uitneembare nachtbeugel. Achter het bovenfront is een spalk niet altijd mogelijk. Spalken maken wij sinds 2024 digitaal met een scan van het gebit en een nauwkeurige buigmachine.
Maar wat kost dit dan?
De kosten zijn ongeveer (2024):
- Een eerste consult om te beoordelen of u wel geschikt bent voor dit type behandeling. Ca. 29 euro.
- Het uitgebreid onderzoek, (röntgenfoto's, gewone foto's en een 3D scan van het gebit maken), ca.350 euro
- Het bespreken van het behandelplan, incl. uitleg bij de simulatie
- Plaatsen van de attachments, slijpen tussen de tanden (indien nodig, kijk hier hoe het werkt), oefenen met in en uit doen, instructies e.d.
Bij Spark 20 kost dit incl. alle controles, 1x een refinement, het plaatsen van retentie apparatuur (bijv. ook een spalk) en ca. één jaar nacontroles, ca.2500,- euro. De korting die wij bij Ormco/Spark krijgen, wordt volledig aan u doorgegeven. Wij zijn een grote aanbieder van Spark in Nederland, en hebben al sinds 2001 patiënten met aligners behandeld. - Twee refinements zijn inbegrepen bij de materiaalprijs van Spark 20, per refinement komen er ca. 150 euro kosten bij voor het verwijderen van de oude attachments, scannen, 3D setup en opnieuw plaatsen van attachments.
Er bestaan ook doe-het-zelf aligners die iets goedkoper zijn. Doe dit liever niet, dit geeft meestal niet een perfect resultaat, en er vindt geen of amper supervisie van de behandeling door een echt goed gekwalificeerde behandelaar plaats. Goede hulp als het niet volgens plan loopt is er vaak ook niet, en dan staat u er toch weer alleen voor, of moet u daarna alsnog naar een echte orthodontist en heeft u dubbele kosten, veel tijd verloren en misschien onherstelbare schade aan uw gebit. Lees dit bericht.
Op de website van zo een online aanbieder in Nederland staat dat de behandeling vanaf 1750,- euro mogelijk is. Bij een echte orthodontist is de behandeling iets duurder, en bij eventuele problemen tijdens en na de behandeling wordt u ook niet in de steek gelaten! Als u de reviews van zo een doe het zelf aanbieder leest, sorteer dan met de laagste score eerst, zodat u de "gekochte" reviews wegfiltert.
Tijdens de behandeling is het gebruik van de app TrayMinder erg handig. Deze herinnert je wanneer je moet wisselen en hoe lang de behandeling nog duurt.
Enkele voltooide behandelingen:


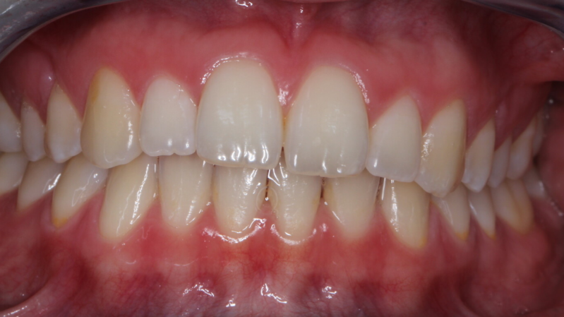
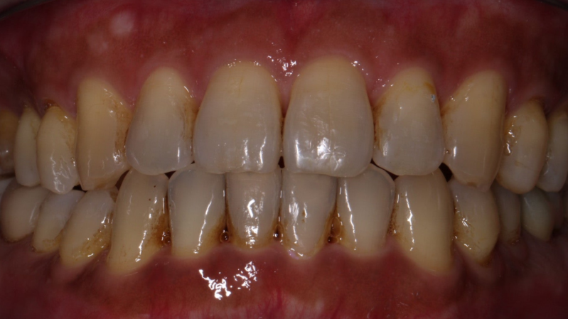
Diagnose: diepe beet en crowding (39591)
Behandelduur: 4 maanden
Refinements: 0


Eindresultaat direct na verwijderen attachments.


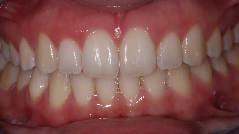
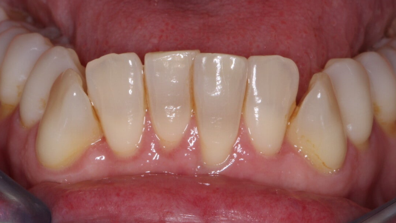
Diagnose: open beet
Behandelduur: 5,5 maanden, met het dragen van elastieken en slijpen tussen de tanden.
Refinements: 0


Resultaat direct na verwijderen attachments. De beet moet nog settelen, de contacten worden nog beter. Op de foto is iets naar voren dicht gebeten, in werkelijkheid is de overbeet wel nog groter.


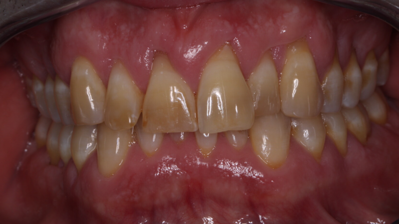
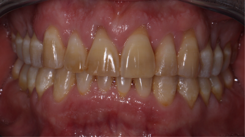
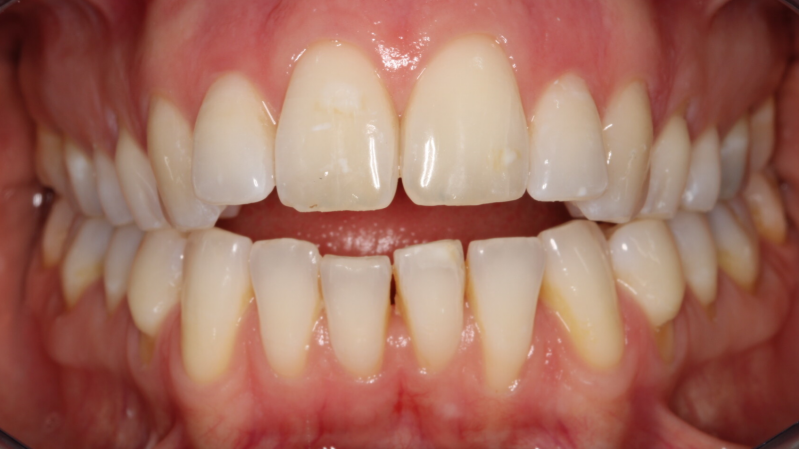
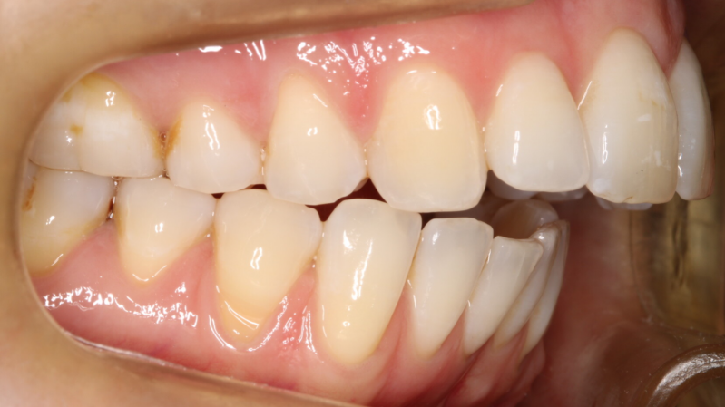
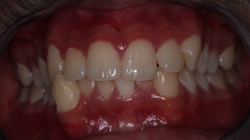
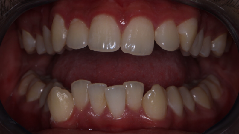
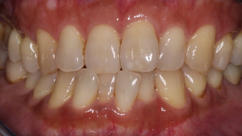
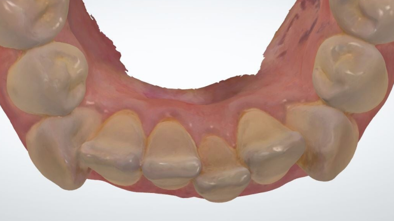
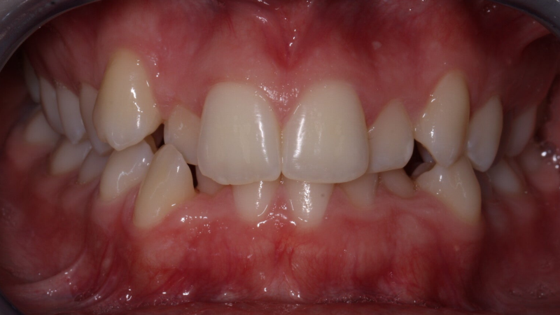
Behoorlijk scheve tanden en een kruisbeet bij de hoektand. Om voldoende ruimte te maken, is er tussen de boven en onder tanden 0,3 tot 0,5mm geslepen.


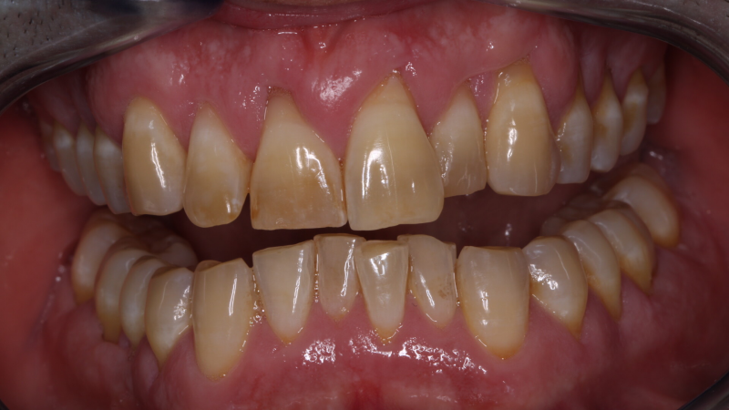
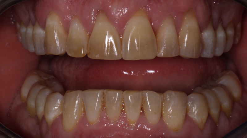
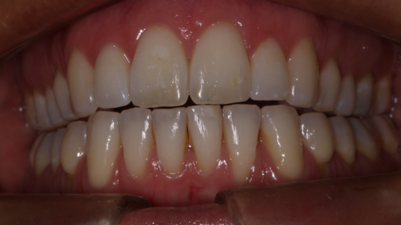
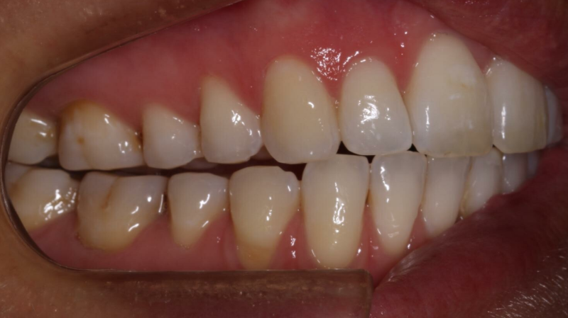
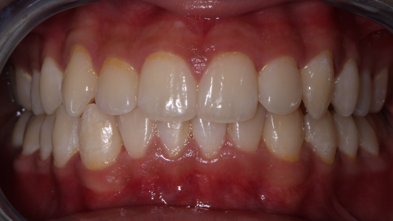
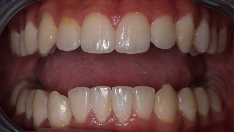
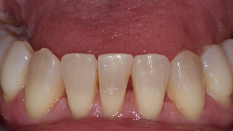
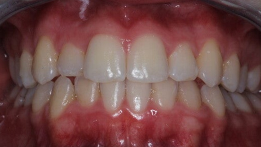
Situatie 6 maanden later. Het staat bijna goed, maar we gaan nog een refinement doen. (39410)




Een behandeling van 1 jaar, waarbij ook steeds elastieken gedragen werden om de overbeet te corrigeren.




Ook de lachlijn is duidelijk verbeterd.



Behandelduur: 10 maanden. Twee refinements. Er is wat geslepen tussen de ondertanden. (39379)




Behandelduur: 11 maanden. Er is een onder snijtand getrokken om ruimte te maken voor de hoektanden. (39964)


Kruisbeet en veel crowding. (40824)


4,5 maanden later (we hebben toch nog een refinement gedaan voor wat kleine correcties, de uiteindelijke behandelduur was 8 maanden).